Создать аккаунт

Употребление фастфуда связано с депрессией

Фото из открытых источников Анализ данных Национального обследования здоровья и питания (NHANES) показал, что каждый дополнительный прием пищи быстрого приготовления в неделю был связан с повышением вероятности депрессии на 4%. Эта связь в значительной степени не зависела от ожирения, хотя ожирение в некоторой...

Употребление фастфуда связано с депрессией

Pronews.gr: фастфуд ускоряет старение организма и вызывает рак

Фото из открытых источников Исследователи из Университета Монаша (Австралия) провели работу, результаты которой опубликованы изданием Pronews.gr. Они обнаружили, что регулярное употребление продуктов с высокой степенью обработки, таких как чипсы, шоколад с добавленным сахаром, газированные напитки, печенье и...

Pronews.gr: фастфуд ускоряет старение организма и вызывает рак

Ревматоидный артрит связан с повышенным риском сердечной недостаточности

Фото из открытых источников Ревматоидный артрит (РА) связан с более высокой частотой подтипов сердечной недостаточности, согласно исследованию, опубликованному в журнале Arthritis Care & Research. Юмеко Кавано, доктор медицины из больницы Brigham and Women's Hospital в Бостоне, и коллеги оценили риск подтипов...

Ревматоидный артрит связан с повышенным риском сердечной недостаточности

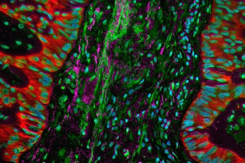
Микроскопические изменения клеток связаны с быстрым ростом рака в жестких тканях

Фото из открытых источников По данным Всемирной организации здравоохранения, только в 2022 году рак был диагностирован у более чем 20 миллионов человек, и почти 10 миллионов умерли от этой болезни. Хотя масштабы рака огромны, ответ на более эффективные методы лечения может скрываться в микроскопической клетке. Статья,...

Микроскопические изменения клеток связаны с быстрым ростом рака в жестких тканях

Три доступных напитка для здоровья сердца: проверьте, есть ли они у вас дома!

Для поддержания здоровья сердца стоит обратить внимание на три простых, но полезных напитка, которые легко можно найти в каждом доме. Эти напитки не только обладают приятным вкусом, но и насыщены питательными веществами, способствующими укреплению сердечно-сосудистой системы. Немецкий журнал Focus делится секретами этих...

Три доступных напитка для здоровья сердца: проверьте, есть ли они у вас дома!

Как хронический стресс разрушает эндокринную систему: мнение эксперта

Фото из открытых источников Эндокринная система выполняет важную функцию в поддержании здоровья человека, отвечая за регуляцию метаболизма, роста, иммунитета и репродуктивной системы. Как пишет издание «Вечерняя Москва», гинеколог-эндокринолог Ольга Есипова поделилась, как хронический стресс влияет на гормональный...

Как хронический стресс разрушает эндокринную систему: мнение эксперта

Эксперты назвали простые привычки для ясного ума в пожилом возрасте

Фото из открытых источников С возрастом ментальное здоровье становится не менее важным, чем физическое. Как отмечает "Вечерняя Москва", эксперты предлагают несколько простых привычек, которые могут помочь избежать когнитивных нарушений и сохранить ясность мышления в пожилом возрасте. Одним из ключевых факторов считается социальная активность. Геронтологи подчеркивают, что участие в коллективных мероприятиях, таких как клубы по интересам или хоровое пение, благотворно влияет на мозг.

Эксперты назвали простые привычки для ясного ума в пожилом возрасте

Врачи рассказали, сколько майонеза в день можно съедать без вреда здоровью

Фото из открытых источников В праздники мы привыкли поглощать майонез в солидных дозах. Хотя врачи и предупреждают о последствиях для здоровья. Но они же уверяют, что эта приправа, если она хорошего качества, даже полезна. Но в умеренном объеме. Итак, сколько «вешать в граммах»?.. Эксперты Национальной...

Врачи рассказали, сколько майонеза в день можно съедать без вреда здоровью

FT: у людей по всему миру отмечается ухудшение психического здоровья

Фото из открытых источников Британская газета Financial Times (FT) рассказала об опасной тенденции: во всем мире у людей фиксируют ухудшение психического здоровья. Об этом стало известно из соответствующего исследования Всемирной организации здоровья (ВОЗ). По сведениям организации, ухудшение психического...

FT: у людей по всему миру отмечается ухудшение психического здоровья

Распространенное кожное заболевание связано с повышенным риском болезней сердца

Фото из открытых источников Недавнее исследование, проведенное учеными из Второй аффилированной больницы Чжэцзянского университета, выявило возможную связь между псориазом, распространенным заболеванием кожи, и различными формами заболеваний сердца. Результаты исследования, проведенного под руководством...

Распространенное кожное заболевание связано с повышенным риском болезней сердца
Продолжая просматривать сайт kartymetro.ru вы принимаете политику конфидициальности.
ОК